Der Begriff Chirurgie kommt aus dem Lateinisch/Griechischen und bedeutet vereinfacht ausgedrückt «Handarbeit». Bereits in der Antike wurden bei Menschen und Tier chirurgische Eingriffe vorgenommen, allerdins ohne Kenntnisse über Betäubung, Schmerzausschaltung und Asepsis. Die erste Vollnarkose beim Pferd wird um 1550 n.Chr. beschrieben. Damals wurde den Tieren ein Trank aus Alraunwurzeln, Bilsensamen und Lattich aufgemischt- mit destilliertem Wasser oder Gerstensaft eingegeben. Daraufhin schliefen die Pferde den ganzen Tag.
Moderne Medikamente erlauben mittlerweile eine relativ sichere Vollnarkose. Dank moderner Sedativa und lokaler Betäubungsmittel sind jedoch auch sehr viele operative Eingriffe beim Pferd im Stehen möglich geworden, so dass wir ausgewählte chirurgische Eingriffe im Stall durchführen.
Operationen im «Feld» sind nicht dasselbe wie an einer Klinik. Es bedarf einer sorgfältigen Abwägung, was machbar ist und was nicht. Eine gute Aufklärung der Pferdebesitzer ist essenziell. Der Besitzer/in muss 100 % hinter der Sache stehen, denn er ist live dabei und wird nicht wie z.B. in einer Klinik aus dem Raum geschickt. Er/Sie muss auch mögliche Komplikationen wie z.B. starke Blutungen live ertragen und möglicherweise auch mal mit Hand anlegen.
Es gibt Eingriffe wie z.B. eine Gelenksspiegelung oder eine Kolik-Operation, die bis dato nur unter Klinik-Bedingungen möglich sind. Es braucht ein Narkosegerät, einen Anästhesisten, einen hygienisch einwandfreien Operationssaal usw.
Die Nachsorge solcher Eingriffe kann in der Regel durch die Besitzer selber erfolgen, sofern sie genaue Instruktionen erhalten.
Die Liste der Beispiele für operative Eingriffe beim Pferd im Stall ist nicht vollständig.
Kontaktieren Sie uns mit Ihrem Anliegen, wir beraten sie gerne.
Verletzungen im Stall gehören leider zum Alltag – sei es durch scharfe Kanten, Hängenbleiben am Zaun oder Unfälle auf der Weide infolge von Ausrutschern oder auch durch Tritte eines anderen Pferdes. Auch Knochenbrüche, genannt Frakturen, können in diesem Zusammenhang auftreten.
In erster Linie ist es wichtig, das Pferd - wenn möglich - in einer Box ruhigzustellen. Besteht der Verdacht auf eine Fraktur, sollte das Pferd möglichst an Ort und Stelle ruhiggestellt werden. Jede unnötige Bewegung kann die Verletzung verschlimmern und umliegende Strukturen zusätzlich schädigen. Bei starken Blutungen sollte ein Druckverband angelegt werden, um den Blutverlust zu verringern. Eigene Versuche, einen gebrochenen Knochen zu richten oder zu bewegen, sollten unbedingt vermieden werden, da dies weitere Schäden verursachen kann.
Verletzungen sollten so schnell wie möglich tierärztlich versorgt werden. Nach gründlicher Reinigung wird überprüft, ob Knochen oder Gelenke betroffen sind – bei Bedarf auch mittels Röntgen. Kleinere Verletzungen können unter Umständen direkt im Stall chirurgisch versorgt werden. Bei Knochenbrüchen, tiefen oder größeren Wunden sowie bei Beteiligung von Gelenken, Sehnenscheiden oder Schleimbeuteln ist eine Behandlung in einer spezialisierten Klinik notwendig. Dort stehen optimale Hygienebedingungen, weiterführende Diagnostik und – falls erforderlich – eine Narkose zur Verfügung.
Eine primär verschlossene Wunde am Kopf mit eingelegter Drainage.
Weiteres Beispiel einer primär verschlossenen Wunde am Kopf. Hier wurden zerschnittene Infusionsschläuche als Hautschutz verwendet, um Entlastungsnähte anzulegen, die die Spannung auf die Wundränder reduzieren.
Wunden werden grundsätzlich in offene und geschlossene Wunden eingeteilt.
Zu den offenen Wunden zählen Schürf-, Schnitt-, Riss-, Abriss- und Stichverletzungen. Schnittwunden haben meist glatte Wundränder und verursachen vergleichsweise wenig Gewebeschaden, weshalb sie oft besser heilen. Riss- und Abrissverletzungen entstehen dagegen durch Zerreissen oder Abreißen von Gewebe. Dabei werden nicht nur die Haut, sondern auch umliegende Strukturen und Blutgefässe stärker geschädigt. Solche Verletzungen heilen häufig schlechter. Durch die beeinträchtigte Blutversorgung kann das geschädigte Gewebe absterben, wodurch die Naht unter Umständen nicht hält. In manchen Fällen ist auch der Knochen betroffen. Dabei kann sich ein abgestorbenes Knochenstück bilden (Sequester), das vom gesunden Knochen abgegrenzt wird. Dieses muss in der Regel operativ entfernt werden, damit die Wunde vollständig heilen kann.
Zu den geschlossenen Wunden zählen insbesondere Quetschungen sowie Verletzungen infolge stumpfer Gewalteinwirkung. Dabei bleibt die Hautoberfläche intakt, jedoch kommt es durch die Schädigung von Blutgefässen zu Einblutungen in das umliegende Gewebe (z. B. Hämatome). Auch ohne sichtbare Hautverletzung können solche Traumata schmerzhaft sein und Schäden an tieferliegenden Strukturen verursachen.
Auch scheinbar kleine offene Verletzungen sollten nicht unterschätzt werden. Tieferliegende Strukturen wie Gelenke, Knochen oder Weichteile können mitbetroffen sein und sich entzünden. Besondere Vorsicht ist bei Biss- und Stichverletzungen geboten: Die Haut verschließt sich häufig rasch nach dem Eindringen, sodass kein ausreichender Abfluss von Wundsekret möglich ist. Dadurch steigt das Risiko einer Infektion erheblich.
Saubere oder nur gering kontaminierte Wunden können in der Regel primär durch eine Naht verschlossen werden, was in der Regel eine kleine Narbe hinterlässt. Bei stark verschmutzten oder älteren Wunden müssen gegebenen Falls die Wundränder aufgefrischt werden. Ist ein Wundverschluss durch eine Naht nicht möglich, werden solche Wunden offen belassen und heilen sekundär. Dies führt in der Regel zu einer größeren Narbenbildung als bei einem primären Wundverschluss.
Nach der Versorgung schützt ein Verband die Wunde oder die Naht. Das Pferd erhält schmerz- und entzündungshemmende Medikamente, bei Bedarf auch Antibiotika. Ausserdem wird überprüft, ob ein ausreichender Tetanusschutz besteht. Der erste Verbandswechsel erfolgt nach zwei bis drei Tagen, da sich Blut und Wundflüssigkeit ansammeln können und ein idealer Nährboden für Bakterien darstellen. Die Fäden werden nach zehn bis vierzehn Tagen entfernt. Anschließend bleibt noch für einige Tage ein schützender Verband angelegt. Wunden, die nicht genäht werden konnten, bleiben so lange unter einem Verband, bis sich ausreichend neues Gewebe gebildet hat.
Pferde sind sehr anfällig für Wundstarrkrampf (Tetanus). Eine korrekte Impfung ist daher äusserst wichtig, da die Erkrankung häufig tödlich verläuft. Hat ein ungeimpftes Pferd eine Verletzung, muss es unbedingt eine Prophylaxe und eine korrekte Grundimmunisierung erhalten.
a) Bei der oben gezeigten Wunde wurde zunächst eine Drainage eingelegt, um den Abfluss von Wundsekret sicherzustellen; anschließend erfolgte der Wundverschluss mittels einer Naht.

b) Ein Teil der Haut ist infolge einer beeinträchtigten Blutversorgung abgestorben, sodass der verbleibende Wundbereich sekundär heilen musste. Zusätzlich bildete sich geringfügig überschießendes Granulationsgewebe.

c) Die Wunde ist sekundär verheilt. Sie wird sich im weiteren Verlauf durch Kontraktion weiter verkleinern, bis schließlich eine Narbe zurückbleibt.
Wie gut und wie schnell eine Wunde heilt, hängt von verschiedenen Faktoren ab. Pferde mit einem erhöhten Cortisolspiegel – zum Beispiel bei Cushing oder nach längerer Behandlung mit Kortison – heilen meist langsamer. Ältere Pferde brauchen in der Regel mehr Zeit als junge, gesunde Tiere. Ponys zeigen dagegen oft eine etwas bessere Wundheilung.
Grundsätzlich heilen frische und unkomplizierte Wunden schneller und mit weniger Problemen als ältere und komplizierte Verletzungen. Wunden an den Beinen heilen häufig schlechter als am Körper oder Kopf, da dort die Blutversorgung geringer ist. Wurden die Wundränder stark gequetscht oder ist die Durchblutung gestört, verzögert sich die Heilung zusätzlich.
Unbehandelte oder schwerwiegende Verletzungen können Wund-, Knochen- oder Gelenksinfektionen, überschießende Granulationsgewebebildung („wildes Fleisch“), Sequesterbildung (abgestorbenes Knochengewebe) und damit eine verzögerte Wundheilung nach sich ziehen.
Wunden sind ein grosses Thema in der Pferdewelt und für die Besitzer oftmals schwierig einzuschätzen.
Es ist daher meist ratsam, bei Unsicherheit einen Tierarzt beizuziehen.
Frakturen (Knochenbrüche) und Fissuren (feine Risse im Knochen) entstehen beim Pferd meist durch Stürze, Ausrutschen, Schlagverletzungen, Kollisionen oder Überbelastung. Bei Verdacht sollte das Pferd möglichst wenig bewegt und sofort tierärztlich untersucht werden. Eine Röntgenuntersuchung ist notwendig, um die Diagnose zu sichern. Fissuren sind im Röntgenbild allerdings häufig erst nach etwa zehn Tagen erkennbar. Besteht der Verdacht auf eine Fissur, sind konsequente Boxenruhe und eine Kontrolluntersuchung nach rund zehn Tagen besonders wichtig.
Viele Frakturen erfordern eine chirurgische Stabilisation in einer spezialisierten Klinik. In ausgewählten Fällen ist eine konservative Behandlung an einer Klinik möglich mit Stabilisation im Netz. Dazu zählen beispielsweise bestimmte Beckenfrakturen oder nicht verschobene Frakturen langer Röhrenknochen. Die Entscheidung über die geeignete Therapie wird stets individuell nach genauer Diagnostik getroffen.

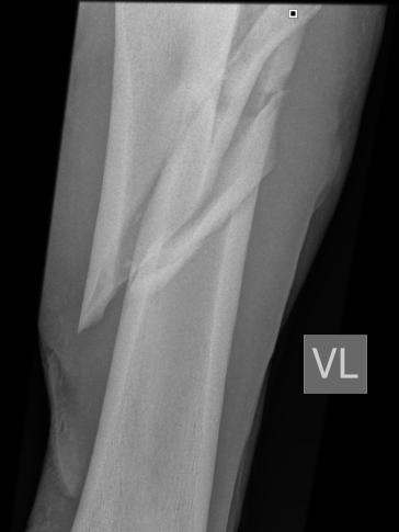
Fraktur eines langen Röhrenknochens
Grundsätzlich unterscheidet man zwischen inkompletten und kompletten Frakturen. Inkomplette Frakturen werden als Fissuren bezeichnet. Komplette Frakturen können einfach sein, mit wenigen Fragmenten, oder komplex, wenn mehrere Knochenstücke entstanden sind. Eine weitere wichtige Einteilung betrifft die Haut: Ist sie intakt, spricht man von einer geschlossenen Fraktur. Ist der Knochen sichtbar, handelt es sich um eine offene Fraktur. Diese Unterscheidungen sind entscheidend für Therapie und Prognose.
Die Heilungsaussichten hängen von verschiedenen Faktoren ab, unter anderem vom Alter und Gewicht des Pferdes, der Art und Lage der Fraktur, möglichen Begleitverletzungen sowie vom anschließenden Management. Offene Frakturen haben aufgrund der Infektionsgefahr meist eine vorsichtigere Prognose als geschlossene. Komplexe Mehrfragment-frakturen heilen in der Regel schwieriger als einfache Brüche. Leichtere Pferde wie Ponys oder Fohlen haben durch die geringere Belastung häufig bessere Heilungsaussichten.
Mögliche Komplikationen sind unter anderem Belastungshufrehe, Infektionen des Knochens mit Sequesterbildung, verzögerte oder ausbleibende Heilung sowie die Entwicklung einer Arthrose.