Viele unserer Patienten leiden im Laufe Ihres Lebens an Arthrose. Diese chronische, nicht-infektiösen aber schmerzhaften Gelenkerkrankung kann die Bewegungsfähigkeit deutlich einschränken.

Die Arthrose ist zuallererst eine Erkrankung des Gelenkknorpels, welcher an Elastizität verliert und dabei dünner, rauer und rissiger wird. Der darunterliegende Knochen versucht dieser Fehlbelastung entgegenzuwirken, indem er eine grössere Auflagefläche bildet und mehr Knochengewebe (Osteophyten) produziert. Diese knöchernen Zubildungen ragen teilweise in den Gelenkspalt hinein und scheuern dort. Dies führt zu einer zusätzlichen Entzündung und das Knorpelgewebe wird noch mehr belastet. Das Knochengewebe ist im Gegensatz zum Knorpel schmerzempfindlich, weshalb es durch die Mehrbelastung des Knochens und die Entzündung zu Schmerzen kommen kann.

Meist bemerkt der Hundehalter anfangs, dass der Hund morgens oder nach einer längeren Ruhepause Probleme beim Aufstehen hat, sich steif bewegt oder lahmt. Nach einer gewissen Zeit in Bewegung lassen die Symptome nach und der Hund läuft sich ein. Viele Hunde springen nicht mehr ins Auto, vermeiden Treppen, bleiben auf Spaziergängen stehen oder drehen um. Mit dem Fortschreiten der Arthrose nimmt die Gelenkbeweglichkeit weiter ab und die Muskulatur wird weniger. In manchen Fällen ist eine Verdickung des Gelenkes ertastbar.

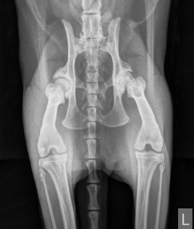
Durch die klinischen Symptome, den Bericht des Besitzers und unter Berücksichtigung des Alters hat Ihr Tierarzt häufig schon einen starken Verdacht. Dieser lässt sich durch die Röntgendiagnostik bestätigen und liefert Hinweise auf den Schweregrad der Erkrankung.

Leider ist die Arthrose eine chronische Erkrankung, welche sich permanent weiterentwickelt und nicht heilbar ist. Daher ist das Ziel jeder Therapie eine Schmerzreduktion mit möglichst langer Erhaltung der Bewegungsfähigkeit. Jeder Hund reagiert allerdings unterschiedlich auf die verschiedenen therapeutischen Möglichkeiten, daher gibt es keine „Allheilmethode“. Es hat sich aber gezeigt, dass die verschiedenen Therapien kombiniert und an jeden Hund individuell angepasst werden sollten, um ein optimales Resultat zu erzielen.
Die Vorbeugung beginnt bereits im Welpenalter. Einer der wichtigsten Punkte stellt die Vermeidung von Übergewicht dar. Vermeiden Sie eine übermässige Belastung bei der Bewegung Ihres Welpen.
Die Prognose für jeden Hund ist individuell und von verschiedenen Faktoren beeinflusst. Welches Gelenk ist betroffen? Oder sind es sogar mehrere? Wie schwer sind die Veränderungen? Spricht der Hund auf Schmerzmittel (NSAIDs) an? Liegen noch andere gesundheitliche Probleme vor? Was ist schon alles versucht worden und gibt es noch Alternativen?
Alle diese Fragen versuchen wir mit Ihnen zusammen zum Wohl Ihres Hundes zu beantworten.
Ähnlich wie Hunde können auch Katzen an chronisch degenerativen und schmerzhaften Veränderungen der Gelenke leiden, nur zeigen sie diese nicht so offensichtlich. Während Hunde Gelenkprobleme primär mit Lahmheit anzeigen, fallen bei Katzen häufiger Verhaltensveränderungen auf, welche auf schmerzhafte Prozesse hindeuten.
Katzen werden häufig ruhiger, bewegen sich weniger, putzen sich schlechter und teilweise setzen sie Kot und Urin neben die Katzentoilette ab, da sie diese nicht mehr schmerzfrei erreichen können. Sie spielen weniger als zuvor und schlafen mehr.
Die Schmerzen entstehen durch Verschleisserscheinungen an den Gelenken. Es treten häufig Knorpelschädigungen, Veränderungen an der Gelenkschmiere, knöcherne Zubildungen und verdickte Gelenkskapseln auf. Diese degenerativen Prozesse sind nicht mehr reversibel und schränken die Beweglichkeit der Gelenke ein.
Leider sind die Symptome bei Katzen häufig unspezifisch und müssen daher durch eine gründliche Untersuchung mit zusätzlichen Blutuntersuchungen und Röntgenbildern von anderen Erkrankungen, wie Niereninsuffizienz, Leberentzündung oder Schilddrüsenproblemen, welche im Alter ebenfalls vorkommen, unterschieden werden. Bei älteren Katzen finden wir häufig auch eine Kombination aus altersbedingten Erkrankungen. So leiden einige Tiere an Osteoarthrose und einer Einschränkung der Nierenfunktion, oder einer zusätzlichen Schilddrüsenüberfunktion. Diese kombinierten Krankheitsbilder erfordern eine individuelle Anpassung der Therapie.


Eine gezielte Röntgenuntersuchung zeigt in der Regel das Ausmass der Arthrose in den betroffenen Gelenken. Leider sind diese Veränderungen nicht heilbar. Das Ziel einer Therapie ist die Verminderung der Schmerzen und die Verbesserung der Gelenkbeweglichkeit.

Ein Teil der Therapie zur Reduktion der Schmerzen wird die Gabe von entzündungshemmenden Medikamenten sein. Falls eine dauerhafte Anwendung nötig ist wird die geringstmögliche Dosis des Präparates angestrebt, um Nebenwirkungen gering zu halten und trotzdem eine langfristige Schmerzausschaltung zu erreichen.
Ein weiterer Teil ist die zusätzliche Anpassung der Ernährung ihrer Katze. Man weiss inzwischen, dass die Gabe von Grünlippenmuschelextrakt, Omega-3-Fettsäuren, Antioxidantien oder Glykosaminoglykanen entzündungshemmende Effekte auf die Gelenke hat. Aber auch eine Gewichtsreduktion bei übergewichtigen Katzen hat positiven Einfluss auf das Schmerzgeschehen und das Wohlbefinden.
Seit kurzem ist in der Schweiz ein neuer Wirkstoff zur Schmerztherapie für Katzen auf dem Markt. Dieser besteht aus monoklonalen Antikörpern gegen den Nervenwachstumfaktor (NGF), welcher eine wichtige Rolle bei der Weiterleitung osteoarthrosebedingter Schmerzen spielt. Nach der Injektion des Medikamentes binden die Antikörper an diesen Botenstoff und machen ihn somit unwirksam.
Da Katzen häufig eine langfristige orale Eingabe von Medikamenten nicht gut tolerieren und dies meistens auch nur mit vielen Tricks und Überredungskünsten möglich ist, könnte das neue Präparat eine deutliche Vereinfachung der Therapie bei chronischen Schmerzen des Bewegungsapparates darstellen. Es wird alle 4 Wochen als Injektion unter die Haut verabreicht. Darf aber bei trächtigen, laktierenden oder Zuchttieren nicht verwendet werden. Der Abbau des Wirkstoffs im Körper erfolgt über körpereigene katabole Wege in kleine Bestandteile und hat dadurch keine negativen Auswirkungen auf Leber und Niere.
Leider ist die Arthrose der Katze eine unheilbare, chronische Erkrankung. Daher wird das Therapieziel nicht die Heilung, sondern die Schmerzreduktion sein, um ein gutes Allgemeinbefinden zu ermöglichen. Dies kann durch die Kombination aus Schmerzmedikamenten, Nahrungsergänzungsmitteln und bei Bedarf Gewichtsreduktion in vielen Fällen erreicht werden.
Bitte geben Sie ihrer Katze NIE Schmerzmedikamente aus ihrer eigenen Hausapotheke (beispielsweise Paracetamol z.B. Acetalgin®, Dafalgan®, Panadol® und Tylenol®). Diese können bei Katzen schwere Vergiftungen hervorrufen.
Falls sie das Gefühl haben, dass ihre Katze an chronischen Schmerzen des Bewegungsapparates leidet, melden sie sich sehr gerne bei uns in der Praxis.

Seit Anfang 2021 ist in der Schweiz ein neuer Wirkstoff zur Schmerztherapie bei Hund und Katze auf dem Markt. Das neue Medikament enthält monoklonale Antikörper gegen den Nervenwachstumfaktor (NGF), welcher eine wichtige Rolle bei der Weiterleitung osteoarthrosebedingter Schmerzen spielt. Nach der Verabreichung des Medikamentes binden sich die Antikörper an diesen Botenstoff und machen ihn somit unwirksam, was die Schmerzweiterleitung an das Gehirn reduziert.
Der Einsatzbereich liegt bei der Therapie bei chronischen Schmerzen des Bewegungsapparates (Osteoarthrose), welche bislang mit Entzündungshemmern behandelt wurden und diese entweder nicht mehr ausreichend wirken, oder vom Patienten nicht mehr gut vertragen werden.
Das Medikament wird alle 4 Wochen als Injektion unter die Haut verabreicht. Darf aber bei trächtigen, laktierenden oder Zuchttieren nicht verwendet werden. Der Abbau des Wirkstoffs im Körper erfolgt über körpereigene, katabole Wege in kleine Bestandteile.
Die Schmerzlinderung sollte innerhalb einer Woche eintreten, bis dahin können die bisherigen Schmerzmedikamente weitergegeben werden.
Gerne besprechen wir mit Ihnen, ob diese Therapie auch für Ihr Tier in Frage kommt. Vereinbaren Sie bitte einen Besprechungstermin.