Ungefähr 60% aller Lahmheiten beim Pferd sind auf eine «Arthrose» zurückzuführen. Der Begriff setzt sich aus dem altgriechischen Wort „arthron“ für Gelenk und der Endung –«ose» zusammen, was «fortschreitend verschleissend» oder «zerstörend» bedeutet. Verschiedene Faktoren wie z.B. fortgeschrittenes Alter, körperliche Arbeit, Übergewicht oder Fehlstellungen führen zu Abnutzung und schliesslich Auflösung des Gelenkknorpels, was zu einer vorübergehenden, schmerzhaften Gelenkentzündung führt.

Grundsätzlich kann jedes Gelenk betroffen sein. Die Pferderasse oder eher die Art des Gebrauches dieser Rassen scheinen die Entstehung von Arthrose in bestimmten Gelenken zu bewirken.
So beobachtet man z.B. bei Trabrennpferden mehr Arthrose im Kreuz-Darm-Beingelenk als bei anderen Rassen. Im Westernsport gebrauchte Quarterhorses leiden hingegen häufig an Arthrose in den unteren Sprunggelenksreihen.
Arthrose kann lange unbemerkt bleiben. Die Pferde müssen nicht immer offensichtlich «lahm» gehen. Häufig wird Arthrose erst im Endstadium entdeckt, wenn bereits knöcherne Umbauprozesse stattgefunden haben. Heilbar ist die Erkrankung nicht, aber die im Umbauprozess auftretenden Schmerzen können mit verschiedenen Medikamenten und Behandlungsmethoden gelindert werden.
Vereinfachend lassen sich nach aktuellem Kenntnisstand der Wissenschaft folgende „Ursachenkomplexe“ beim Pferd definieren:
Alle Aufzählungen führen mehr oder weniger zu einer schmerzhaften Gelenksentzündung. Jede Arthrose ist also auch eine Arthritis. Die Endung -itis steht für Entzündung.
Es bildet sich vermehrt Gelenksflüssigkeit (Synovia) und deren chemische Zusammensetzung und Konsistenz ändert sich: sie wird dünnflüssiger und enthält mehr Entzündungsprodukte. Diese wiederum verursachen ihrerseits eine entzündliche Kettenreaktion in der Gelenkkapsel und im Gelenkknochen. Die Gelenkkapsel verdickt sich, der Knochen baut sich um. Diese Umbauprozesse können so weit gehen, dass der Knorpel sich gänzlich auflöst und somit Knochen auf Knochen liegt. In einem solchen Stadium ist das Gelenk dann versteift, die Entzündung klingt ab und das Gelenk ist nicht mehr schmerzhaft.
Schematische Darstellung eines gesunden Gelenkes links und Arthrose rechts

Quelle: Arthrosemodell: https://www.rheumaliga.ch/rheuma-von-a-z/arthrose
Arthrose ist ein langsamer, schleichender Prozess. Im Anfangsstadium sind geringe Schäden am Knorpel zunächst schmerzlos. Der Reiter bemerkt vielleicht einen steifen Gang oder leichte Lahmheit, was jedoch mit etwas «Warmlaufzeit» verschwindet oder nur bei kaltem Wetter festzustellen ist. Weitere Beobachtungen sind, dass Pferde mit Arthrose über Monate oder Jahre hinweg immer weniger lauffreudig wirken, zunehmend Probleme beim Hinlegen und Aufstehen haben und die Beine nicht mehr gerne beugen bzw. Probleme beim Schmied haben. In späteren Stadien, wenn der Knorpel sich aufzulösen beginnt und sich knöcherne Umbauprozesse entwickeln, werden die Lahmheiten und/oder die Beugeschmerzen offensichtlicher. Wenn sich der Knorpel ganz aufgelöst hat und Knochen auf Knochen liegt, hat sich das Gelenk versteift und die Schmerzen werden wieder weniger.
Beim Verdacht auf Arthrose sollte zunächst eine Lahmheitsuntersuchung durchgeführt werden. Dabei wird festgestellt, auf welchem Bein das Pferd lahmt und welches Gelenk schmerzhaft ist. Sofern nicht offensichtliche Entzündungsanzeichen wie vermehrte Gelenksfüllung, Wärme, Beugeschmerz oder Knochenumbauprozesse feststellbar sind, empfiehlt es sich, in das „verdächtige“ Gelenk Lokalanästhetikum zu verabreichen, um sicher zu gehen, dass dieses Gelenk für den beobachteten Schmerz/die Lahmheit verursachend ist, bevor eine Behandlung direkt ins Gelenk erfolgt.
In manchen Fällen lassen sich an einem von Arthrose betroffenen Gelenk bereits von aussen und ohne Röntgenbild Knochenumbauprozesse wie z.B. ein „Spathöcker“ (vgl. Abb.4) oder eine „Schale“ (vgl. Abb.3) erkennen. Nach abgeschlossener Lahmheitsuntersuchung bzw. wenn bekannt ist, welches Gelenk betroffen ist, erfolgt in der Regel eine Röntgenuntersuchung.
Die Diagnose einer fortgeschrittenen Arthrose wird anhand von Röntgenbildern gestellt, obwohl der Knorpel per se auf den Röntgenbildern nicht zu erkennen ist. Erkennbar ist die Arthrose anhand von knöchernen Umbauprozessen wie z.B. Randzacken (sog. Osteophyten), knöcherne Brückenbildung, verdichtetem Knochen unter dem Knorpel (Sklerose) und sich verengenden Gelenkspalten (Knorpelschicht in Rückbildung).

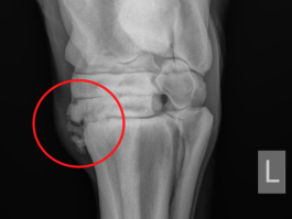
Abb. 3: Äusserlich erkennbare knöcherne Auftreibung („Schale“) über dem Krongelenk links (roter Kreis) und Röntgenbild rechts. Der obere rote Pfeil im Röntgenbild zeigt auf das hochgradig veränderte Krongelenk ohne kaum mehr ersichtlichen Gelenkspalt und deutlichen knöchernen Brückenbildungen.


Abb. 4: Äusserlich erkennbare knöcherne Auftreibung („Spathöcker“) an der Innenseite der unteren Sprunggelenksreichen links und Röntgenbild rechts.
Es gibt grundsätzlich mehrere Möglichkeiten, eine Arthrose zu behandeln, aber nicht zu heilen. Behandeln heisst in erster Linie, die Gelenksentzündung zu hemmen und dadurch den Schmerz zu lindern. Neben der Entzündungshemmung werden mit manchen Medikamenten auch versucht, die Umbauprozesse zu stoppen (z.B. Chlorodonsäure) oder eine Art „künstlichen Knorpelschutzdämpfer“ (z.B Polyacrylamidgel) zu schaffen.
Tabelle 1 gibt eine Übersicht zu den verschiedenen verfügbaren Medikamenten und Methoden. Je nach Schweregrad, Charakter des Pferdes, Finanzen, persönlichen Präferenzen des Pferdebesitzers oder des behandelnden Tierarztes können mehrere Methoden miteinander kombiniert werden.
Die Pferdepraxis VETCARE bietet alle in Tabelle 1 aufgeführten Methoden im Stall an, ausser den Eigenbluttherapien und der chirurgischen Versteifung. Welche Methode am wirksamsten ist, ist bis heute Gegenstand aktueller Forschung und wird kontrovers diskutiert. Am sinnvollsten ist es, sich vom jeweilig behandelnden Tierarzt beraten zu lassen und die Vor- und Nachteile pro Behandlungsart zu kennen. Am Ende wird die Tierärztin gemeinsam mit dem Pferdebesitzer entschieden, was am besten zum Patienten und zum Schweregrad der Arthrose passt.
Tabelle 1: Tabellarische Übersicht zu den verschiedenen Medikamenten und Methoden zur Behandlung

Arthrose ist nicht heil-, aber behandelbar. In der Regel lässt sich der Verlauf dieser Krankheit immerhin aufhalten oder zumindest verlangsamen. Vor allem aber können durch Gelenksentzündungen hervorgerufene Schmerzen gelindert werden. Das Pferd gewinnt dadurch an Lauf- und Lebensfreude sowie an Beweglichkeit.