Tiere leiden ebenso an Herzerkrankungen wie Menschen. Die Ursachen sind aber meistens völlig unterschiedlich. Das Ausmass des Herzleidens unserer Tiere, die Prognose und der sinnvolle Einsatz von Therapien setzt eine korrekte Diagnose voraus. Mit verschiedenen „Puzzle-Teilen“, bestehend aus der klinischen Untersuchung mit Auskultation des Herzens, dem EKG, dem Thoraxröntgen, Blutuntersuchungen und dem Ultraschall wird das Gesamtbild zusammengesetzt.
In der Ultraschalluntersuchung (Echokardiografie) werden die einzelnen Strukturen des Herzens und auch ihre Funktionen beurteilbar. Die Herzklappen, der Herzmuskel und der Blutfluss im Herzen wird dabei visualisiert.
Chronisch degenerative Klappenerkrankungen sind die häufigsten Herzerkrankungen beim alternden Hund. Kleine Hunderassen mit zunehmendem Alter sind hauptsächlich betroffen. Betroffen sind vor allem die Segel der Mitralklappe und deren Aufhänge Apparat – weniger häufig sind die Trikuspidalklappe und die Aortenklappe betroffen.
Ob die Degeneration zu klinisch relevanten, hämodynamischen Problemen führt, kommt auf den Schweregrad der Erkrankung an. Für die Tierärztin besteht ein erster Verdacht, wenn bei der Auskultation des Herzens ein Nebengeräusch entdeckt wird.
Das feine Bindegewebe der Herzklappen lockert sich auf und degeneriert, was zu Knötchen und Verdickungen führt. Einige Rassen sind mehr betroffen als andere. Auffällig ist, dass sich bei diesen Hunden im Alter auch Bandscheiben- und Kreuzband-Risse häufen, wegen ebenfalls alterndem Bindegewebe.
Die Klappen schliessen mit diesen Auflagerungen nicht mehr funktionsgetreu. Bei jedem Herzschlag fliesst ein Teil des Blutflusses in die falsche Richtung. Dieses Pendelblut ist nicht von Beginn weg ein Problem. Erst bei fortschreitender Klappendegeneration und damit zunehmendem Pendelblut-Volumen über die Monate und Jahre, kommt es zur Dekompensation und zum Herzversagen.
Zeichen eines links-Herzversagens sind ein Lungenödem. Damit einher geht eine erhöhte Atemfrequenz in Ruhe, erschwerte Atmung, Husten, Atemnot, Bewegungsunlust, unruhige Nächte (im Liegen ist es schwieriger zu atmen als beim Sitzen, Stehen und Gehen). Später im Krankheitsgeschehen folgen weitere Dekompensations-Mechanismen wie ein schwacher Puls, Arrhythmien mit kurzzeitiger Bewusstlosigkeit, Ansäuerung, ein aufgetriebenes Abdomen aufgrund von rückgestauter Flüssigkeit im Abdomen und der Leber u.a.m.
Die Tierärztin schaut sich den Patienten an und hört die Herztöne und die Lungengeräusche ab, misst den Puls und -qualität und schaut sich die Schleimhäute an. Bei einem Verdacht entscheidet sie sich für folgende weiterführende Untersuchungen:
Eine Vergrösserung der Herz-Silhouette auf beiden Aufnahme-Ebenen des Brustkorbes – aber auch eine Verdichtung des Lungengewebes (Flüssigkeitsansammlung im Interstitium den Bronchien und Alveolen) sind ernste Zeichen und veranlassen entweder direkt einen Therapieversuch, oder führen zu den unten aufgeführten weiteren Untersuchungen.


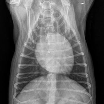
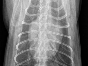
Röntgenaufnahmen des Brustkorbes auf zwei Ebenen mit vergrössertem und abgerundetem Herzschatten und Verdichtung im Lungengewebe.
Im EKG geben eine Tachykardie, eine pathologische Arrhythmie oder die Verlängerungen der Abstände und Amplituden erkennbare Hinweise auf eine ernsthafte Erkrankung des Herzens.
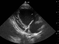
Mit dem Ultraschall werden der Herzmuskel und seine Anhänge dargestellt. Die verdickten Klappenteile, das Ausmass des Pendelblutes, der vergrösserte Vorhof und Ventrikel sowie die Druckdifferenzen sind mess- und darstellbar. Nach dieser systematischen Erfassung und Beschreibung beurteilt die Tierärztin den Schweregrad der Erkrankung und definiert Therapie-Optionen.

Ableitung 2, 10mm/mV/ 50 mm/sec
Arrhythmie ohne Regelmässigkeiten; Vorhofflimmern

Deutlich vergrösserter linker Vorhof und Ventrikel

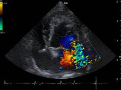
Ausmass des Pendelblutes in den linken Vorhof in Farben.

Druckmessungen zwischen dem linken Vorhof und Ventrikel.

Vergrösserter Vorhof-Ventrikel und verdickte Klappen.
Eine Heilung ist nicht möglich. Wir therapieren symptomatisch. Das Herz soll entlastet und in seiner Kraft unterstützt werden, sowie die Lunge von überflüssigem Druck und Rückstau erleichtert werden. Typische Medikamente sind herzstärkend, entwässernd und blutdrucksenkend.
Regelmässige Kontrollen in der Tierarztpraxis sind dabei sehr wichtig.
Die Prognose hängt vom Stadium der Herzerkrankung ab, und auch, wie der Patient auf die Therapie reagiert. Viele Hunde können mit der richtigen Behandlung noch jahrelang ein gutes Leben führen.

Don Alphonso, ein 14-jähriger Cavalier King Charles Spaniel mit Herzbefunden. Seit 6 Jahren wird sein Herz regelmässig kontrolliert und die Therapie angepasst.
Es geht ihm gut.
Katzen erkranken relativ häufig am Herzen. Eine Studie schätzt, dass eine Herz-Erkrankung bei 10-30 Prozent der (tierärztlich betreuten) Katzen auftritt. Die idiopathische, hypertrophe Kardiomyopathie (HCM) ist hier die häufigste Diagnose. Bei dieser Krankheit verdickt sich der Herzmuskel abnormal- die Ausprägungen sind jedoch vielfältig.
Einige Katzenrassen sind häufiger betroffen als andere. Wahrscheinlich handelt es sich um eine genetische Prädisposition. Nichts desto trotz kommt sie bei allen Rassen vor, auch bei der Hauskatze.
Gewöhnlich zeigen sich klinische Symptome bei der mittelalten Katze, aber auch Jungtiere oder bereits alte Katzen können Probleme zeigen. Wenn sich der Herzmuskel nur fokal, segmental und geringgradig verdickt, zeigen sich bestenfalls keine Symptome. Ist die Verdickung des Herzmuskels aber hochgradig und global, dann kann er seine Funktion nicht mehr wahrnehmen.
Wahrscheinlich handelt es sich um eine genetische Prädisposition. Bei zwei Rassekatzen gibt es ein genetisches Screening, welches das «Krankheitsgen» ein - oder ausschliesst (bei Ragdoll und Maine Coon Katzen). Leider ist das Ergebnis nie zu 100 Prozent sicher. Die Züchter/innen sind sich dieser genetischen Erkrankung bewusst, und es wird bereits aktiv auf eine Zucht mit gesunden, geprüften Tieren geachtet. Bei allen anderen Rassen inklusive bei der Hauskatze, tritt die Krankheit aber ebenfalls auf.
Auch metabolische Entartungen wie eine Hyperthyreose (Endokrinopathie) oder ein systemischer Bluthochdruck aus unterschiedlichen Gründen, hat ebenfalls Einfluss auf den Herzmuskel und führt zu kardialen Anomalitäten und schlimmstenfalls zu einem Herzversagen.
Die Ursache und der Auslöser der Hypertrophen Kardiomyopathie ist unbekannt. Bei der histologischen Untersuchung finden sich im Herzmuskel entzündliche und degenerative Muskelzellen mit Narbengewebe durchwachsen.
Wenn der Herzmuskel verdickt ist, kann er sich nicht adäquat bewegen. Der Blutfluss ist in der rigiden Muskelkammer verändert- und der Druck erhöht sich im Herzen. Das führt zum Rückfluss des Blutes. Dadurch verändert sich die Durchblutung auch der Koronar-Arterien mit der Folge von Arrhythmien und verminderter Durchblutung des Herzmuskelgewebes. Dabei können Thromben und Thromboembolien entstehen, was zur Blockade der Aorta im Bauchraum- und dadurch eine plötzliche Lahmheit oder sogar zum Herztod führt.
Die Folgen der Herzmuskelveränderungen führen zu klinischen Symptomen wie erschwerter Atmung, Bewegungsunlust oder Inappetenz. Die Erkrankung ist fortschreitend (progressiv), wie schnell und wie schwergradig die Auswirkungen sind, ist jedoch individuell also von Katze zu Katze unterschiedlich.
Viele Katzen leben lange ohne Symptome. Nicht bei allen Katzen können, beim Abhören mit dem Stethoskop, Nebengeräusche, eine Arrhythmie oder zusätzlichen Herztöne entdeckt werden. Herzerkrankungen zeigen leider häufig keine hörbaren Veränderungen.
Mit dem Elektrokardiogramm können Arrhythmien aufgedeckt werde. Im Thorax Röntgen erkennen wir eine vergrösserte Herz-Silhouette oder auch einen Flüssigkeits-Rückstau im Lungengewebe oder im Brustraum. Mit der Ultraschalluntersuchung werden anatomische Veränderungen am Herzmuskel-, Flussmuster und Drücke messbar.
All diese Methoden sind Screening-Methoden, um auch bei nicht eindeutigen Ergebnissen in regelmässigen Abständen den Herzmuskel und seine Funktion zu überprüfen. Oft ist im frühen Krankheitsgeschehen die Diagnose HCMP nicht eindeutig zu stellen. Wenn die Messungen im Referenzbereich sind, kann bei regelmässigen Folgeuntersuchungen der Verlauf dokumentiert werden.
Farb-Doppler Darstellungen

dynamische subaorta- und midventrikuläre Obstruktionen führen zum links-Herzversagen

durch Rückfluss hochgradig vergrösserter Vorhof: Aorta/linkem Vorhof > 1.5

verdickte Ventrikelwand mit vergrössertem linkem Vorhof
Thorax Röntgen

seitliches Thorax Röntgen mit vergrösserter Herz-Silhouette und verdichtetem Lungengewebe

«Valentins-Herz»: Ventro-dorsale Aufnahme mit vergrösserter Herz- Silhouette
Eine vorsorgliche Therapie mit Medikamenten hilft nicht den Krankheitsprozess aufzuhalten oder zu verzögern. Bei der Diagnose einer Kardiomyopathie ohne auffällige, klinische Symptome können Antiarrhythmika und Blutverdünner eingesetzt werden. Wenn die Katze bereits klinische Symptome zeigt, müssen diese symptomatisch- medikamentell angegangen werden.
Die Prognose ist abhängig von der Ausprägung der Herz-Muskel-Verdickung, und dem damit veränderten Blutfluss. Bei einem Rückstau mit Dilatation, Hochdruck und Arrhythmien ist die Prognose hingegen schlecht. Katzen mit sehr milden und nur fokalen Veränderungen ohne Folgeerscheinungen können lebenslang symptomlos bleiben.